Co je to akné a jak se léčí?

Acne vulgaris neboli akné je nejčastější kožní onemocnění s chronickým průběhem, se kterým se potýkají především mladí lidé v pubertě. Nejméně jednou v životě postihne téměř každého z nás. Dochází při něm k zánětlivému postižení vlasových folikul a mazových žláz. Nejvýraznějším projevem nemoci je vznik tzv. komeda (vřídku, furunklu). To se projevuje jako tečkovitá vyvýšenina bledé nebo tmavé barvy.

Výskyt akné

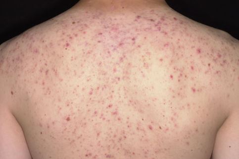
Akné se nachází v oblastech kůže s nejvyšší hustotou folikulů, tj. na obličeji (především v T-zóně), na ramenou, v horní části hrudi a na zádech. Uplatňuje se zde několik příčin. Jednou z nich je zvýšená tvorba mazu, ke které existuje genetická predispozice. Dále hormonální změna - nárůst hladiny androgenů - mužských pohlavních hormonů (ke kterému v dospívání dojde u obou pohlaví), jenž stimulují receptory v mazových žlázách. Dochází k ucpání folikulu a vznikne tzv. komedo. Hromadí se v něm bakteriální flóra živící se odumřelými buňkami (Propionibacterium acnes), jejichž tuky štěpí a vznikají tak nenasycené mastné kyseliny, které zhoršují tyto lokální změny. Poruší se stěna folikulu a toto prasknutí vyvolá zánět. Stagnace sekretu v mazových žlázách má za následek jejich poškození a vznik hlubokých zánětů, po nichž zůstávají jizvy. Mezi vyvolávající příčiny patří také menstruační cyklus, stres, nevhodné kosmetické přípravky, nadměrné slunění (s pocením) a kouření.

Akné nejenom v pubertě

V pubertě akné obtěžuje více než 85 % populace a často přetrvává až do dospělosti. U většiny lidí vymizí mezi dvaceti až třiceti lety, nicméně toto je zcela individuální. U některých trvá až do čtyřicátého, nebo i padesátého roku věku. Právě proto, že těmito obtížemi trpí hlavně dospívající v pubertě, kdy jsme velmi náchylní, nejistí si sami sebou, dochází nezřídka vlivem akné i k problémům psychickým. Jedná se zejména o snížení sebevědomí, protože nejsme spokojeni se svým uhrovitým vzhledem, někdy vygradované až k depresi. Zejména u mladých dívek často dochází ke změnám podobným akné a to acne excoriata. Tento jev je způsobený škrábáním, mačkáním a dalším hmožděním kůže především na obličeji. Tyto změny souvisí s psychickou nadstavbou dospívajících.

Kdy začít léčit?

Z těchto důvodů je vhodné akné začít léčit již v raném stadiu. Jeho léčba bývá složitá a dlouhodobá. Často za sebou zanechává jizvy, se kterými se bojuje těžko. Nicméně v dnešní době existuje spousta metod, které vám můžou pomoci. Vnitřní léčba vždy nestačí, proto je přínosné v této situaci využít některá z vnějších ošetření. V našem lékařském zařízení se vám dostane pomoci jak s vnitřní péčí, tak s tou vnější.

Boj s akné - vymačkávat, nebo ne?

Mechanické vymačkávání pupínků rozhodně není účinný způsob, jak proti akné bojovat. Podobné metody mohou naopak vést ke zhoršení projevů a následně ke zjizvení pokožky. Vzhledem k tomu, kolikrát se za den (byť nevědomky) dotkneme obličeje, měli bychom si často mýt ruce během dne a předcházet tak zanášení bakterií, virů a jiných nečistot do naší pokožky. Od puberty byste měli dbát na vybudování si správného hygienického rituálu - tedy očisty obličeje ráno a večer pomocí mycích gelů, micelárních vod a jejího následného ošetření vhodným krémem. Akné můžete částečně ovlivnit svým jídelníčkem. Mezi potraviny podporující tvorbu pupínků patří červené maso, uzeniny, brambory, rýže, kořeněná jídla, alkohol, kofein, med a veškeré sladkosti. Strava by měla být bohatá na minerály a vitaminy, proto je důležitý především dostatek ovoce a zeleniny. Pravidelné aerobní cvičení třikrát až čtyřikrát v týdnu vás zbavuje stresu a tím pádem předchází i vzniku akné, současně srovnává hormonální hladiny, čímž se snižuje produkce mazu ve folikulech. Výhodou cvičení je také pocení, které pomáhá odplavovat nečistoty a nedochází pak k zanášení pleti. Po cvičení samozřejmě následuje sprcha, která nás zbaví potu a vyplavených nečistot. Zaschlý pot je totiž ideální půdou pro vznik akné. Příčinou tvorby pupínků může být i používání nevhodné dekorativní kosmetiky, volte raději make-up pro problematickou pleť.